Врачи Новосибирской областной больницы провели уникальную операцию по удалению 10-сантиметровой паразитарной кисты в головном мозге пятилетней девочки. Ребенок поступил к медикам с признаками паралича левой руки и ноги. По словам родителей, до этого она жаловалась на головные боли.
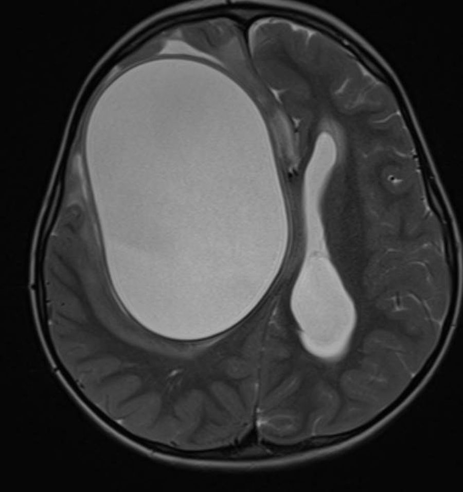
— Во время обследования были обнаружены небольшие новообразования в лёгких и громадная киста в головном мозге. Она занимала почти все правое полушарие и сдавила мозг так сильно, что что между мозговым плащом и черепом осталось не больше двух миллиметров, — сообщили в Новосибирской областной клинической больнице.
Исследование подтвердило страшный диагноз — эхинококкоз. Скорее всего, девочка подцепила паразита во время поездки с родителями в Среднюю Азию.
Как пояснили врачи, обычно эхинококк поселяется в печени и лёгких, попадание в головной мозг — крайне редкий случай.
— Новообразования в мозге часто диагностируют на поздних стадиях. Возможно, паразит поселился в организме ребёнка давно, и киста росла, не давая о себе знать. При этом даже после частичного паралича девочка оставалась в ясном сознании и разговаривала, — объяснил нейрохирург ГНОКБ Шалиндер Аул.
Стоит отметить, что у новосибирских хирургов есть опыт операций аналогичных кист на печени и легких, но удалять ленточного червя из головного мозга пациента, тем более ребенка, им приходилось впервые. Однако медлить было нельзя, состояние ребёнка могло ухудшиться в любой момент — маленькую пациентку необходимо было срочно оперировать.
Поскольку случай крайне сложный и уникальный, в операционной собрались и нейрохирурги, и детские хирурги, и анестезиологи, и врачи других специальностей. Все очень волновались и готовы были в любой момент помочь. Возглавил операцию Шалиндер Аул.
Нейрохирурги очень аккуратно, с использованием методики водной диссекции, высвободили кисту и извлекли её из черепной коробки, не повредив. Сдавленные участки мозга встали на место. Операция длилась несколько часов.
— Маленькая пациентка перенесла многочасовую операцию героически. Сейчас она уже переведена в палату, движение в руке и ноге восстановилось. Спустя неделю девочка начала самостоятельно ходить, — рассказал Шалиндер Аул.
Ребенок останется в больнице под строгим наблюдением врачей минимум на два месяца. По словам медиков, если за это время кисты не уменьшатся, потребуется ещё одна операция — на этот раз на лёгких.
Ранее редакция сообщала о том, что хирурги Центра Мешалкина удалили два вида рака одновременно у пациента с больным сердцем.

